当国庆与中秋双节同庆,城市处处洋溢着节日的喜悦与团圆的温情。在人们享受假期之际,西藏民族大学附属医院的医护人员依然坚守临床一线,用专业与担当守护着患者的健康与生命,用实际行动诠释“节日我在岗”的责任与使命。

(图1:门诊心电图)
10月2日下午,附属医院内科门诊接诊一名60岁男性患者。该患者因突发上腹痛就诊,患有高血压、糖尿病、高血脂症及长期吸烟史。心电图提示前壁导联ST段抬高,考虑急性心肌梗死。王文莉主治医师第一时间作出判断,随即联系神经心血管内科孙丽荣主治医师,建议立即行急诊冠脉介入手术。

(图2:手术中)
接到紧急指令后,介入团队成员曹东青护师、司文技师迅速响应,火速抵达导管室。曹东青护师细致核对手术器械,确保耗材完好适配;司文技师专注调试造影设备、备齐抢救药品,各项术前准备高效完成,一场与死神竞速的救治行动随即展开。
由于患者发病至就诊已超过5小时,心肌缺血范围较大,术后发生心力衰竭、恶性心律失常甚至心脏破裂的风险显著升高。面对复杂病情,孙丽荣医师主动与家属深入沟通,用清晰易懂的语言讲解病情进展、治疗方案及潜在风险,既坦诚告知不确定性,也传递医者信心。最终家属充分信任医护团队,同意为患者实施冠脉介入治疗。

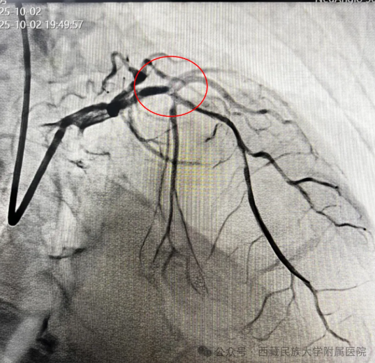
(图3:冠脉造影结果,前降支近端起闭塞)
手术在紧张而有序的氛围中展开。孙丽荣医师带领团队沉着冷静、操作娴熟,在数字减影血管造影(DSA)精准引导下,顺利将导管送至病变部位。随着闭塞血管被成功开通,心肌血流恢复灌注,患者上腹痛症状迅速缓解,生命体征逐步平稳。术后,当患者露出安心的笑容时,连续奋战的医护人员才稍稍松了一口气。这一刻,是医者仁心的最好见证,连日坚守岗位的医护人员也由衷感到欣慰。

(图4:冠脉介入结果,前降支血流恢复)
此次急性心梗患者的成功救治,不仅充分展现了西藏民族大学附属医院在急性心梗救治领域的高水平医疗技术,更彰显了医院神经心血管内科及介入团队的专业实力。从精准诊断到快速联动,从细致准备到顺利手术,团队凭借精准的判断、娴熟的操作与细致的护理,成功为患者筑起生命防线。
在节日团聚的时刻,附属医院的医务工作者选择坚守岗位,24小时待命,确保绿色通道畅通无阻。他们用专业回应信任,用坚守守护生命,以实际行动践行医者初心,为人民群众的健康保驾护航。
【神经心血管内科简介】
神经心血管内科是西藏民族大学附属医院的重点学科之一,科室分为心血管内科和神经内科2个专业组。拥有一支具有较强凝聚力和战斗力的医疗团队,目前有副主任医师2人,主治医师6人,住院医师2人。常年可开展神经内科、心血管内科常见病、多发病、疑难病例的诊治,并将高血压病、冠心病、慢性心力衰竭、脑梗死、脑出血等疾病纳入慢病管理。依托24小时急救团队,为急性脑卒中、急性心肌梗死患者提供溶栓/取栓或介入治疗,最大限度挽救生命,降低致死、致残率。技术特色:连续性血液净化治疗、急性脑梗死动脉取栓、颅内动脉支架置入、动脉瘤栓塞术、冠脉造影、冠脉支架置入术、心脏射频消融术、下腔静脉滤器植入术、下肢动脉支架植入术。
科室地址:
咸阳市渭城区文汇东路6号西藏民族大学附属医院14楼神经心血管内科
咨询电话:
029-33755965
【微创介入中心简介】
微创介入中心以患者为中心,关爱生命、提供规范化、个体化、专业化综合治疗。
擅长:
冠脉介入:包括冠状动脉造影、球囊扩张、支架植入等。
心律失常:起搏器植入、射频消融术等,治疗心动过缓、心动过速、房颤等心律失常疾病。
脑血管造影:脑动脉瘤、脑血管畸形、脑梗塞等疾病的诊断和治疗。
外周造影:四肢动脉、静脉疾病的诊断,如下肢动脉硬化闭塞症、深静脉血栓等。
外周介入: 外周血管疾病的微创治疗,如动脉狭窄球囊扩张、支架植入、血栓抽吸等。
技术特色:
微创精准:采用经皮穿刺技术,创伤小、恢复快、疗效确切。
高效安全:在影像设备引导下进行操作,定位精准,安全性高。
一站式服务:从诊断到治疗,提供全方位、个性化的诊疗方案。
服务理念:
以患者为中心,以质量为核心,以技术为保障,竭诚为广大患者提供优质、高效、便捷的医疗服务。
联系电话:
029-33756309
科室地址:
陕西省咸阳市渭城区文汇东路6号西藏民族大学附属医院2楼微创介入中心
(文图:神经心血管内科 孙丽荣|审核:李苏华)